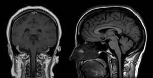
Neuroimaging is the process of producing images of the brain with the use of imaging techniques. Advancements in neuroimaging allow doctors to study the brain and its function and play a crucial role in identifying abnormalities associated with neurological conditions. Brain injuries, spinal cord tumors, strokes, and aneurysms are all evaluated with the help of
Read Moremri imaging center near me
What Is MRI Imaging and How Does It Work?
Magnetic resonance imaging (MRI) is a type of imaging technology used to create detailed images of the body’s internal structures. It uses strong magnetic fields and radio waves to produce images, which can be used by doctors to diagnose and treat medical conditions. MRI has become an invaluable tool in modern medicine, providing physicians with
Read MoreHow MRI Imaging Works
Magnetic resonance imaging (MRI) is a medical imaging technique that is used by doctors to visualize the internal structures of the body. MRI uses a powerful magnetic field, radio waves, and computers to create detailed pictures of the inside of the body. MRI is regarded as one of the safest, low-risk medical imaging techniques a
Read MoreBenefits of MRI Imaging
Magnetic resonance imaging (MRI) is a type of medical imaging technique that uses strong magnetic fields and radio waves to produce anatomical images. An MRI scan can be used to examine almost any part of your body, including your brain, spine, joints, heart, and blood vessels. MRI is of particular use in brain imaging. It
Read MoreWhat is MRI Imaging Used For?
Magnetic resonance imaging (MRI) is a medical imaging technique that uses a powerful magnet, radio waves, and a computer to produce images of what’s inside the body. It is safer than other diagnostic tests, as it does not use radiation. For the test, the patient lies on a table that slides into a hollow tube.
Read More




